تواصل معنا
EN
🌙
×الرئيسيةمن نحنالخدماتجراحة الوجه والفكينجلدية وليزرالعروضأفضل الأطباءالمدونةالمعرضقصص النجاح
WhatsApp
افضل مكان لعلاج الاسنان والجلدية والليزر

افضل مكان لعلاج الاسنان والجلدية والليزر

نقدم خدمات طب الاسنان والجلدية والليزر بأعلى جودة ، لرضا عملائنا وثقتهم . نسعى للتطوير والتميز ، لتعزيز صحة المجتمع عبر فروعنا في أنحاء المملكة.

رحلة التبييض: سر الابتسامة المثالية

نورا استعادة ثقتها بابتسامتها بعد جلسة تبييض متخصصة باستخدام أحدث التقنيات، لتحصل على أسنان مشرقة ومتناسقة تعكس جمالها الطبيعي

في بداية رحلتها، كانت السيدة نورا تعاني من اختلاف في درجة لون الأسنان، مما جعلها تشعر بعدم الثقة عند الابتسام. كانت تطمح للحصول على لون موحد وأكثر إشراقًا يعكس جمال ابتسامتها الطبيعية. بدأ فريقنا الطبي بخطة علاجية متخصصة لتبييض الأسنان باستخدام أحدث التقنيات. تم اختيار درجة اللون المثالية (كما يظهر في الصورة مع عينات الألوان)، والتي تتناسب مع بشرة الوجه وتعكس جمال الابتسامة بشكل طبيعي ومتناسق. بعد الجلسة العلاجية، حصلت السيدة نورا على هذه النتيجة المذهلة، حيث أصبحت أسنانها مشرقة ونقية تمامًا. كانت النتيجة أكثر من مجرد تغيير في المظهر؛ لقد أضافت لمسة جديدة من الثقة والجاذبية لشخصيتها. الآن، تشارك السيدة نورا ابتسامتها بكل فخر، مما يعكس أهمية العناية بالأسنان وأثرها على جودة الحياة

رحلة التبييض: سر الابتسامة المثالية

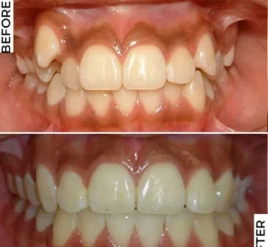
تحول مذهل: عودة الثقة والابتسامة

عندما زارنا أحمد لأول مرة، كان يعاني من مشاكل في اصطفاف الأسنان وتغير لونها، مما أثر على ثقته بنفسه. قرر فريقنا الطبي التعامل مع حالته بخطة شاملة تضمنت تنظيف الأسنان، تقويمها، وتبييضها باستخدام أحدث التقنيات. بعد انتهاء العلاج، حصل أحمد على ابتسامة متناسقة ومشرقة تعكس جماله الطبيعي. الآن، يشارك ابتسامته بكل فخر، مما يظهر تأثير العناية بالأسنان على الثقة بالنفس وجودة الحياة.

تحول مذهل: عودة الثقة والابتسامة